Getting Things Straight—Understanding Align and Aligners

Finding Your True North: What Does Align Mean?
When we talk about align in today's world, we're referring to bringing different elements into proper coordination or harmony. The concept extends far beyond just straightening teeth—though that's certainly an important application!
Align Definition (Featured Snippet):- Primary meaning: To arrange items in a straight line or in correct relative positions- In personal life: Bringing your actions in harmony with your values and goals- In professional settings: Coordinating team efforts toward common objectives- In design: Arranging elements to create visual order and structure- In dental care: Positioning teeth properly for function and aesthetics
The word "align" comes from the French "aligner" and ultimately from Latin "ad linea" meaning "to line." Whether we're talking about aligning your career with your passions, aligning text in a document, or aligning your teeth with clear aligners like Invisalign, the core concept remains the same—creating harmony through proper positioning.
Alignment matters because when things are properly aligned, they function better. A car with aligned wheels drives straight and true. A body with proper spinal alignment experiences less pain. A team with aligned goals achieves more with less friction.
As Dr. Darius Dinshaw puts it, "Body alignment begins with the proper foundation; our feet." Similarly, life alignment begins with understanding what truly matters to you as its foundation.
At Logan Dental Care, we see alignment as both a technical process of straightening teeth and a philosophy of bringing your smile into harmony with your overall well-being.

Align glossary:- orthodontic treatment cost- what do orthodontists do- orthodontic treatment for adults
Align: Definitions, Types, and Why It Matters
Have you ever felt that wonderful "click" when everything just falls into place? That's alignment at work in your life. It's like when all the gears in a watch move together perfectly—creating something beautiful and functional.
When we talk about being aligned, we're really talking about harmony. Like a choir where every voice blends perfectly, alignment brings different elements of our lives into sweet agreement.
Types of Alignment
Life offers us many ways to experience alignment. In your personal life, alignment happens when your daily choices match your deepest values. It's that satisfied feeling at the end of the day when you've lived authentically.
Professional alignment brings your talents and passions to work that matters. When your job fits your strengths like a glove, Mondays feel more like opportunities than obligations.
For many, spiritual alignment provides a sense of connection to something larger than themselves. This might come through meditation, nature walks, or religious practice—whatever helps you feel centered and purposeful.
Your body craves alignment too! Proper posture and body mechanics keep everything functioning smoothly. According to research from Get Aligned, good physical alignment prevents unnecessary strain and helps you move through life with ease.
In the design world, alignment creates visual harmony and guides the eye naturally across a page. As design research shows, properly aligned elements create order from chaos and make information easier to digest.
And of course, dental alignment ensures your teeth work together properly while giving you a confident smile. At Logan Dental Care, we see this change daily!
Align in Everyday Life & Health
Finding personal alignment starts with listening to yourself. What activities energize you? Which relationships feel nourishing? When you follow these "breadcrumbs" of positive feelings, you're actually tracking your alignment.
Your body speaks the language of alignment too. That nagging back pain? It might be telling you something's out of balance. Good alignment starts literally from the ground up—your feet form the foundation of your entire skeletal system.

Even your digestive system benefits from proper alignment. Just as probiotics help maintain the balance of good bacteria in your gut, alignment in all areas of health creates a ripple effect of wellbeing throughout your body.
When you're mentally aligned, decisions become clearer. Your intuition speaks more loudly, and the mental fog lifts. You recognize what truly matters versus what's just noise.
Align in Design, Tech & Teams
Have you ever looked at a well-designed website and felt satisfied without knowing why? That's alignment working its magic behind the scenes. In design, alignment creates invisible structure that guides your eye naturally across the page.

In the workplace, alignment tools have transformed how teams collaborate. Strategic dashboards help everyone see the big picture, while goal-tracking software keeps projects moving forward together. When everyone rows in the same direction, the boat moves faster!
As one CEO put it, "Alignment is both a methodology and the source of truth for managing everyone being on the same page." Companies using alignment platforms have completed millions of tasks more efficiently because everyone understands the shared mission.
Misalignment: Red Flags & Risks
Just like a car with misaligned wheels will eventually veer off course, misalignment in life creates its own problems.
When your actions don't match your values, you might experience burnout, indecision, or that nagging feeling that something's just "off." As one coach notes, "When you're misaligned, even simple choices become exhausting because you're constantly fighting against your own nature."
Physical misalignment often shows up as chronic pain, tension, or reduced mobility. Your body works best when everything is in proper relation—just like a well-tuned instrument.

In dental terms, misaligned teeth create real problems beyond aesthetics. They can make proper cleaning difficult, leading to decay and gum disease. They might cause abnormal wear on tooth surfaces or even contribute to jaw pain and TMJ disorders. That's why at Logan Dental Care, we take alignment seriously—it's about health, not just appearance.
In the workplace, misalignment wastes resources, creates confusion, and dampens team spirit. Projects stall, deadlines slip, and frustration builds. As one consultant observed, "Misalignment is the silent killer of organizational effectiveness."
The good news? Whether it's your teeth, your team, or your life's purpose—alignment can be achieved with the right guidance and consistent effort. And the rewards of living in alignment? They're absolutely worth it.
Align Your Future: Practical Steps, Clear Aligners, and Dental Care
Now that we understand what align means and why it matters, let's explore practical ways to create more harmony in your life—including that smile you share with the world.
Think of alignment as a journey rather than a destination. It begins with four simple yet profound questions that can guide you toward greater clarity:
- What do you want to do?
- What can you do?
- What should you do?
- What must you do?
When you honestly answer these questions, you'll spot where misalignments exist in your life. Sometimes, the path to better alignment starts with something tangible—like your smile.
Many of our patients at Logan Dental Care tell us that dental alignment became their first step toward broader life changes. There's something powerful about seeing your smile transform that inspires confidence to align other aspects of your life too.
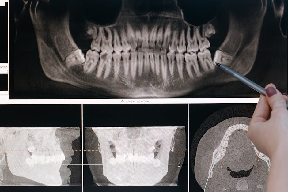
Getting Teeth in Line—Clear Aligners 101
Remember when straightening teeth meant a mouth full of metal? Those days are long gone! Clear aligners have revolutionized dental alignment, offering a comfortable, nearly invisible alternative to traditional braces.
Here's the journey to a straighter smile with clear aligners:
First, we'll meet for a friendly consultation to see if clear aligners are right for you. If they are, we'll take precise 3D scans of your teeth—no more goopy impressions that make you gag! These digital models help us map out exactly how your teeth will move over time.
Then comes the exciting part—receiving your custom-made clear trays. Each aligner is designed to shift your teeth approximately 0.25 mm before you move to the next one. It's like a choreographed dance where each tiny movement brings your smile closer to perfection.

What makes these aligners so remarkable? For starters, they're practically invisible—most people won't even notice you're wearing them. They're also removable, so you can still enjoy your favorite foods without worry. Just pop them out for meals, brush your teeth, and pop them back in!
Most patients wear each set for about two weeks, keeping them in for 20-22 hours daily. The entire treatment typically takes 12-18 months, though some people see results sooner. Throughout your journey, we'll check in regularly to ensure everything's progressing beautifully.
Here's how clear aligners stack up against traditional braces:
FeatureClear AlignersTraditional BracesAppearanceNearly invisibleNoticeable metal or ceramicRemovabilityYes, for eating and cleaningFixed in placeComfortSmooth plastic, no sharp edgesBrackets and wires can irritateFood RestrictionsNone (remove to eat)Yes (avoid sticky, hard foods)Oral HygieneNormal brushing and flossingRequires special cleaning toolsOffice VisitsEvery 5-6 weeksEvery 3-4 weeksTreatment Time12-18 months (average)18-24 months (average)Best ForMild to moderate alignment issuesSimple to complex alignment issues
At our Bellefontaine office, we combine small-town warmth with cutting-edge alignment technology. Want to learn more about this transformative treatment? Check out our detailed guide to Invisalign trays.
Step-by-Step Plan to Stay Aligned
True alignment goes beyond your teeth—it's about creating harmony in every aspect of your life. Here's how to make it happen:
Start by reflecting on your core values. What principles matter most to you? When your daily actions align with these values, you'll feel more authentic and purposeful. Take a few minutes each morning to set intentions that reflect these values.
Next, set clear, measurable goals—what some call Objectives and Key Results (OKRs). Breaking down big dreams into smaller milestones makes the path to alignment more manageable. Maybe you want to improve your health, advance your career, or strengthen relationships—whatever matters to you deserves a clear roadmap.
Physical alignment deserves attention too. Notice your posture throughout the day. Are you hunched over your phone or computer? Simple adjustments like raising your screen to eye level or taking regular stretching breaks can prevent the pain that comes from physical misalignment.

Don't underestimate the power of proper hydration and nutrition in keeping you aligned. Your body works best when it's well-nourished and hydrated. Sometimes that afternoon sluggishness isn't a motivation problem—it's a water problem!
Mindfulness practices help you notice when you're falling out of alignment. When you're fully present, you can feel the difference between activities that energize you and those that drain you. This awareness helps you make choices that keep you in flow rather than friction.
Finally, don't go it alone. Share your alignment goals with trusted friends or family who can provide encouragement and accountability. Sometimes we need outside perspective to spot misalignments we've grown too accustomed to notice.
As one wise alignment coach often says, "When in doubt, choose the most loving action." This simple principle can guide your decisions when the path forward isn't clear.
Why Alignment Starts With a Smile
At Logan Dental Care, we've seen how a properly aligned smile often kickstarts positive changes in other areas of life.
Think about it—when you're confident about your smile, you're more likely to use it! And smiling more frequently doesn't just make others feel good; research shows it actually boosts your own mood and reduces stress hormones.
Clear speech depends partly on proper dental alignment too. When your teeth are properly positioned, you communicate more effectively, which benefits both professional relationships and personal connections.
There's also the health factor. Aligned teeth are simply easier to clean, reducing your risk of decay and gum disease. Since oral health connects to your overall wellbeing (including heart health!), a properly aligned smile contributes to your body's total harmony.

Many patients tell us they didn't realize how much dental misalignment was affecting their quality of life until after treatment. Those headaches you thought were from stress? They might actually stem from jaw misalignment. The tension in your neck? Potentially connected to how your teeth come together.
Here in Bellefontaine, our approach combines advanced alignment technology with the personal touch of a family practice. We take time to understand your unique needs because we believe dental care should never feel rushed or impersonal.
The journey to alignment—whether for your teeth or your life—begins with a single step. For many of our patients, that step is a friendly conversation about possibilities. We'd love to be part of your alignment story. Learn more about our orthodontic services and how they might be the perfect starting point for the aligned future you deserve.
Conclusion: Your Aligned Future
Finding alignment in life isn't just about straight teeth—it's about creating harmony in everything you do. When your smile, values, posture, and goals all point in the same direction, life simply works better.
At Logan Dental Care, we see this change every day. Our patients come in seeking straighter teeth but leave with something more—a newfound confidence that ripples into other areas of their lives. That's the magic of true alignment.
Think of alignment as tuning an instrument. Each small adjustment brings you closer to making beautiful music. Your teeth might shift just a quarter millimeter with each clear aligner tray, but over time, these tiny changes create a dramatically different smile. The same principle applies to all aspects of alignment—small, consistent efforts lead to profound change.
We love being part of this journey for our Bellefontaine neighbors. There's something special about combining modern alignment technology with the kind of personalized care you can only get from a practice that treats you like family. When you walk through our doors, you're not just another patient—you're part of our Logan County community.
Perfect alignment doesn't happen overnight. Just as your teeth need time to shift into their ideal positions, finding alignment in life is a gradual process. Be patient with yourself. Celebrate small victories. Trust the process.
Alignment isn't about perfection—it's about progress. It's about making choices today that bring your life into greater harmony tomorrow. Whether that means wearing your aligners for the recommended 22 hours, adjusting your posture throughout the day, or realigning your calendar to reflect your true priorities, each aligned choice builds upon the last.
We'd love to be your partners in this journey. Whether you're considering clear aligners or simply want to discuss how dental health fits into your overall wellness plan, our team is here to listen and guide. After all, a healthy, confident smile is something truly worth aligning with!
