Smile Brighter with Ceramic Teeth Caps – Here's Why!

Why Ceramic Teeth Caps Are Changing Modern Dentistry
A ceramic teeth cap (also called a dental crown) is a tooth-shaped restoration that covers and protects damaged teeth while restoring their natural appearance and function. Here's what makes ceramic crowns special:
Key Benefits of Ceramic Teeth Caps:
- Natural appearance - Matches your tooth color perfectly
- Metal-free - Safe for patients with metal allergies
- Durable - Lasts 10-20 years with proper care
- Versatile - Works for both front and back teeth
- Same-day options - CAD/CAM technology allows one-visit treatment
If you're dealing with a cracked, chipped, or severely decayed tooth, ceramic crowns offer the perfect blend of strength and beauty. Unlike metal crowns that can show dark lines at the gum, ceramic caps blend seamlessly with your natural teeth.
The research shows that ceramic crowns are highly biocompatible with a lower risk of allergic reactions compared to metal-based options. Most dental insurance plans cover 50-80% of the cost, making them an accessible solution for busy professionals who need reliable, long-lasting dental care.
At Logan Dental Care, we've seen how ceramic crowns can restore both function and confidence. Whether you need same-day treatment or traditional two-visit placement, ceramic caps provide the durability you need with the aesthetics you want.

Top 7 Reasons to Choose a Ceramic Teeth Cap
When you're facing the need for a dental crown, choosing the right material can feel overwhelming. That's where a ceramic teeth cap truly shines. After years of helping families in Bellefontaine restore their smiles, we've seen why ceramic crowns have become our patients' top choice.
Think of it this way: your tooth needs protection, but you don't want everyone to know you've had dental work done. Ceramic crowns give you the best of both worlds—strength that lasts and beauty that looks completely natural.
Ceramic vs. Metal Crown Comparison:
| Feature | Ceramic Crown | Metal Crown |
|---|---|---|
| Appearance | Natural, tooth-colored | Metallic, visible |
| Allergies | Metal-free, biocompatible | Potential metal allergies |
| Durability | 10-20 years | 15+ years |
| Cost | $1,000-$2,500 | $900-$2,500 |
| Gum Health | Gentle on tissues | May cause irritation |
| Repairability | Challenging but possible | Easier to repair |
Let's explore the seven compelling reasons why ceramic crowns might be perfect for your smile.
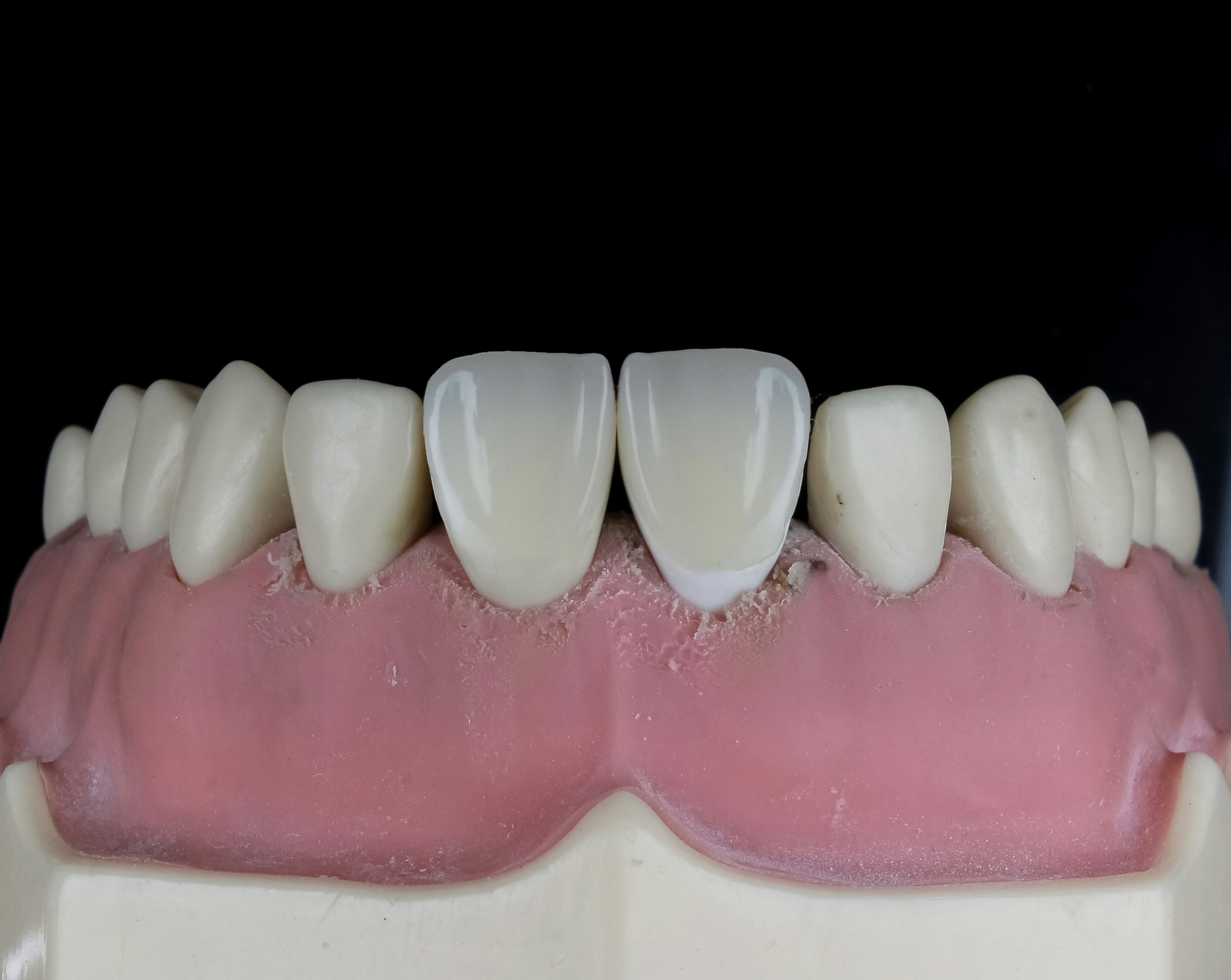
Natural Aesthetics: Porcelain That Mirrors Real Enamel
Here's the truth: nobody should be able to tell you have a crown. With ceramic crowns, they won't.
The magic happens in how ceramic interacts with light. Just like your natural tooth enamel, ceramic has a natural translucency that creates that healthy, lustrous look. When we match the shade to your surrounding teeth, the result is seamless.
We use advanced color-matching technology here at Logan Dental Care to ensure your ceramic teeth cap blends perfectly with your smile. No more worrying about dark lines at the gum margin—those unsightly shadows that can appear with metal-based crowns simply don't exist with all-ceramic options.
This natural appearance makes ceramic crowns especially wonderful for front teeth. When you laugh, smile, or chat with friends, your crown will look just like the tooth that was always there. Many of our patients tell us they actually forget which tooth has the crown because it looks so natural.
Metal-Free Comfort—Perfect for Allergy-Prone Patients
If you've ever experienced gum irritation around a metal crown, you know how uncomfortable it can be. Ceramic crowns eliminate this concern entirely because they contain absolutely no metal.
This biocompatible material is incredibly gentle on your gums and soft tissues. You won't experience that metallic taste some people notice with metal crowns, and there's no risk of allergic reactions to metals commonly used in dental work.
Scientific research on metal allergies shows that some patients develop sensitivities over time, leading to gum swelling, irritation, or even oral lesions. We've helped several patients in Logan County switch from problematic metal crowns to ceramic ones, and the relief they experience is remarkable.
Ceramic also doesn't conduct temperature like metal does, which means less sensitivity to hot and cold foods and drinks. Your morning coffee and evening ice cream can be enjoyed without that sharp, uncomfortable sensation.
Strength & Longevity: 10–20 Years of Reliable Protection
Don't let the natural, delicate appearance fool you—ceramic crowns are incredibly tough. Modern ceramic materials like zirconia and lithium disilicate offer exceptional strength that can handle everything your daily life throws at them.
Zirconia crowns can withstand tremendous pressure—we're talking about flexural strengths of up to 1200 MPa. That's strong enough to handle the powerful chewing forces of your back teeth while maintaining their beautiful appearance for decades.

With proper care, your ceramic crown will typically last 10-20 years, with many lasting even longer. The key is good oral hygiene and regular check-ups. We provide detailed aftercare instructions and schedule regular visits to ensure your investment stays in excellent condition.
Research shows that well-made ceramic crowns average 7-8 years of service, with many lasting 15 years or more. That's a pretty impressive return on your investment in your oral health.
Versatile Placement for Front AND Back Teeth
Here's something that makes ceramic crowns special: they work beautifully anywhere in your mouth. Whether you need to restore a prominent front tooth or protect a hardworking molar, ceramic delivers.
For front teeth, ceramic crowns provide the superior aesthetics you want when you smile. The natural translucency mimics your enamel perfectly, making them ideal for cosmetic improvements and smile makeovers.
For back teeth, modern ceramic materials like zirconia are strong enough to handle the heavy chewing forces your molars endure daily. You get the durability you need without sacrificing the natural appearance you want.
This versatility means we can use the same high-quality restoration throughout your mouth. Whether you need one crown or several, ceramic provides consistent, reliable results. We've successfully placed ceramic crowns on every tooth position, from delicate incisors to powerful molars.
Same-Day CAD/CAM Ceramic Teeth Cap
Imagine walking into our office with a damaged tooth and leaving the same day with a permanent, beautiful ceramic crown. That's exactly what our CAD/CAM technology makes possible.
Here's how it works: We take precise digital impressions of your tooth (no messy impression material needed), then use specialized software to design your crown on the computer. Next, we mill your ceramic teeth cap from a solid block of ceramic right here in our office. Finally, we fit and bond your new crown the same day.
Scientific research on CAD/CAM dentistry shows that this computer-guided process often produces more accurate restorations than traditional laboratory techniques. The precision is remarkable.
The benefits are clear: no temporary crown to worry about, no second appointment to schedule, and immediate results you can see and feel. For busy professionals in Logan County, this eliminates the hassle of multiple appointments and time off work.
While same-day crowns may cost slightly more than traditional two-visit procedures, most patients find the convenience well worth it.
Cost & Insurance for a Ceramic Teeth Cap
Let's talk numbers because we know cost matters. Ceramic crowns typically range from $1,000 to $2,500 per tooth, depending on the specific material and complexity of your case.
The good news? Most dental insurance plans cover 50% to 80% of crown costs, especially when the procedure is medically necessary (like protecting a tooth after a root canal). Coverage depends on factors like your plan's annual maximum and whether there are waiting periods for major procedures.
Different ceramic materials have varying costs, and additional procedures like root canals will affect your total investment. Geographic location also plays a role in pricing.
At Logan Dental Care, we work with you to maximize your insurance benefits and offer flexible payment options. We believe financial concerns shouldn't prevent you from getting the dental care you need. We'll help you understand your coverage and plan your treatment accordingly.
Eco-Friendly & Repairable Options
If you're environmentally conscious, you'll appreciate that ceramic crowns are a more eco-friendly choice than metal alternatives. The metal-free composition eliminates concerns about metal disposal and recycling, while the naturally occurring ceramic materials are non-toxic and biocompatible.
Because ceramic crowns last longer, they also reduce waste over time. That's good for both your wallet and the environment.
What about repairs? While ceramic crowns are incredibly durable, they can occasionally chip or crack. Minor chips can sometimes be polished smooth or repaired with bonding, but major damage usually requires crown replacement.
If your ceramic crown does get damaged, don't panic. Many issues can be addressed without full replacement. When crowns do fail prematurely, it's often due to preparation or handling errors rather than the material itself failing.
The bottom line? Ceramic crowns offer an impressive combination of strength, beauty, and longevity that makes them an excellent investment in your oral health and confidence.
Caring for Your Ceramic Teeth Cap & Next Steps
Taking care of your ceramic teeth cap isn't complicated, but it does require some attention to detail. Think of it like caring for a beautiful piece of jewelry—with the right care, it'll keep looking great and serving you well for years to come.
The good news? Most of what you need to do is probably already part of your routine. Gentle brushing with a soft-bristled toothbrush and non-abrasive toothpaste twice daily keeps your crown clean without scratching the surface. When it comes to flossing, take your time around the crown area—be gentle near the gum line where the crown meets your natural tooth.
Here's where we need to have a little chat about habits. We know it's tempting to use your teeth as tools—opening packages, cracking nuts, or chomping on ice. But your ceramic crown (and your natural teeth) will thank you for resisting these urges. Hard foods and non-food items can chip or crack even the strongest ceramic materials.
If you're someone who grinds or clenches your teeth at night, a custom night guard is your crown's best friend. We see this a lot in our Bellefontaine practice—patients who invest in a beautiful ceramic crown only to damage it during sleep. A night guard is a small investment that protects a much larger one.
Regular dental visits are crucial for keeping your ceramic crown in top shape. During your check-ups every six months at Logan Dental Care, we'll examine your crown, clean around it professionally, and catch any potential issues early. We also take periodic X-rays to monitor the health of the tooth underneath the crown—because what's happening below the surface matters just as much.
Keep an eye out for any changes in how your crown feels. Temporary sensitivity right after placement is normal, but persistent discomfort isn't. If your crown ever feels loose or you notice chips or cracks, don't wait—give us a call right away. Early intervention can often prevent bigger problems down the road.
Sometimes patients worry about gum irritation around their new crown. A properly fitted ceramic crown should feel comfortable and shouldn't cause ongoing irritation. If you're experiencing persistent gum issues, it's worth having us take a look.
Ready to get started with your ceramic crown journey? We'd love to meet with you at our Bellefontaine practice to discuss how a ceramic teeth cap can restore both your tooth's function and your confidence. During your consultation, we'll do a comprehensive examination of your tooth and surrounding tissues, take digital X-rays to see what's happening inside, and create a personalized treatment plan that fits your needs and budget.
We'll also provide you with a detailed cost breakdown and help you understand your insurance coverage. No surprises, no pressure—just honest information to help you make the best decision for your oral health.
More info about crowns is available on our website, where you can learn more about our crown services and schedule your appointment online.
Don't let a damaged tooth hold you back from smiling with confidence. A quality ceramic crown today can prevent more extensive treatments tomorrow. At Logan Dental Care, we combine small-town care with cutting-edge technology to give you the best possible outcome.
Your smile is worth the investment, and we're here to help you protect it for years to come. After all, that's what family does—and here in Bellefontaine, that's exactly how we treat our patients.

